Få et nyt smil.
Dit eget
 

Skjuler du dine tænder, når du smiler til kameraet? Føler du ikke længere, at dit smil er helt dit eget? Eller er du bekymret for dine tænders holdbarhed?

Vejen til et nyt smil er kortere og tryggere, end du tror. Og det handler ikke bare om at få et nyt smil. Det handler om at få lyst til at smile mere.

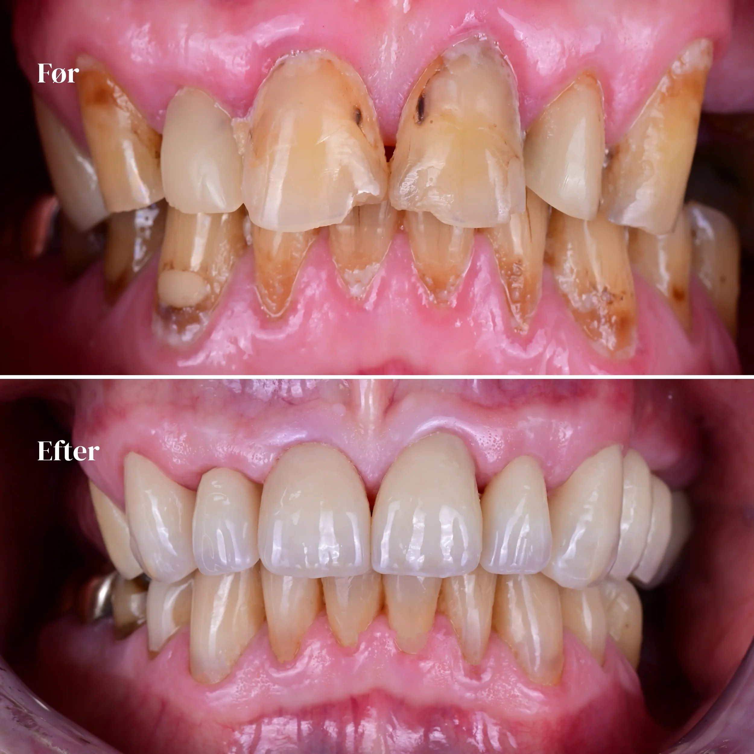
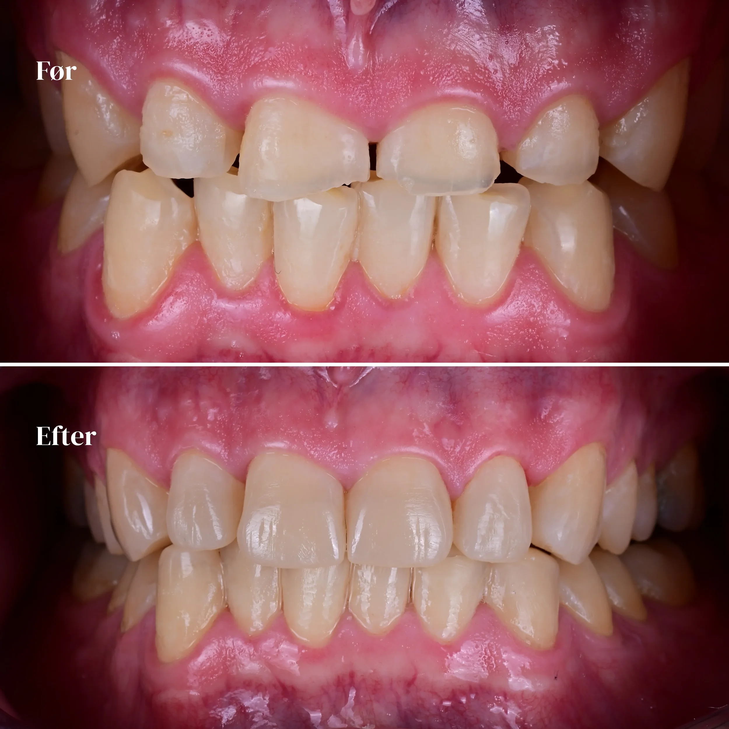
Se et smil tage form Se før og efter billeder

En smilende kvinde med lyst hår i en grøn polo, sidder ved et bord med en blomsterdekoration, med abstrakte grønne kunstværker på væggen bag hende.

Det perfekte smil er det, der passer til netop dig

Vi oplever et stigende ønske om at få lavet forbedringer af smilet - og vi elsker at hjælpe med at skabe det smil, der er netop dig.

For for os handler det ikke om at lave Hollywood-perfekte tænder men om at skabe eller genskabe et smil, der passer naturligt til netop dig - dit ansigt, dine proportioner og din personlighed. Et smil, der ser godt ud, fordi det ligner og er dig. 

Vi skræddersyr altid behandlingen til dig. Og vi har tilrettelagt en proces, der sikrer

  • at du får det rigtige smil

  • at du ved på forhånd, hvordan smilet kommer til at se ud

  • at du kommer sikkert i mål.

Uanset om det er en mindre eller større behandling.

  • Vi begynder med et kort, uforpligtende møde, hvor vi snakker om dine ønsker. Mødet varer ca. 20 minutter, og det er en fordel, hvis du kan sende dine ønsker og billeder af dine tænder på forhånd.  

  • Vi indsamler nødvendigt materiale. Det er kliniske billeder af tænder og ansigt samt evt. røntgen, hvis der er brug for det. Herfra kan vi lave en plan - lidt som en arkitekttegning af dit hus, der også skal passe til netop dit behov.

  • Vi laver en visualisering (Smile design) af, hvordan dit smil kommer til at se ud. Det sker i programmet Smilecloud, hvor du kan se visualiseringen, og sammen justerer og tilpasser vi designet, så vi har et klart billede af det endelige resultat. 

    Du får også et link, hvor du kan følge behandlingen undervejs og vise før/efter-billeder samt design til familie og venner.

  • Du får den endelige behandlingsplan samt et prisoverslag, der viser, hvad behandlingen kommer til at koste. 

    Vi aftaler altid en fast pris, som inkluderer hele behandlinger (Med forbehold for uforudsete ting som fx behovet for en rodbehandling).

  • Selve behandlingen foregår naturligvis på klinikken – og ud fra den fastlagte behandlingsplan. En behandling består typiske af en eller flere af disse teknikker: Porcelænsfacader (Veneers), Plastfacader, Injection Moulding (hvor tænder genskabes eller forbedres med plast), kroner, avanceret tandkødsplastik og tandretning.  

    Vi arbejder altid ud fra skånsomme principper og vævsbevarende metoder.

  • Det er vigtigt for os, at dit smil er det helt rigtige. Derfor følger vi altid op på en behandling og sikrer, at resultatet både ser godt ud og fungerer.  

Se smilet i øjnene

Vores Mere Smil-proces er udviklet og perfektioneret over mange år. Og vi kalder den ikke Mere Smil, fordi tænderne bliver større, men fordi lysten til at smile bliver større.

En før- og eftervisualisering, der giver dig et klart billede af, hvordan dit smil kommer til at udvikle sig gennem behandlingen.

Her kan du se nogle af de smil vi har skabt

To mænd står foran en computerskærm, der viser en 3D-model af tænder med farverige markeringer.

Tag første skridt - ring til klinikken eller book en videokonsultation

Videomødet bookes via et simpelt link og varer cirka 20 minutter. Du kan med fordel sende en kort beskrivelse af dine ønsker forud, gerne med et billede.

Book tid
Ring til os